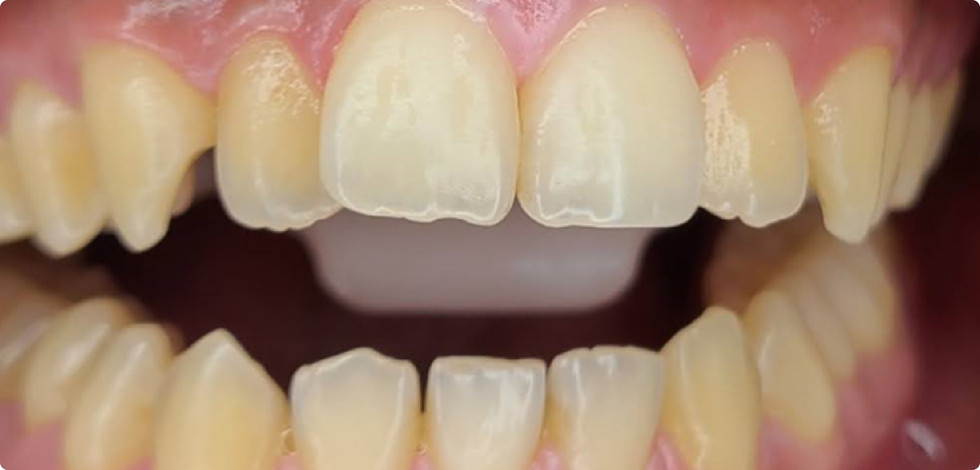
実際の症例
- 患者さま情報(年齢・性別・喫煙有無など)
- 22歳女性・喫煙なし
- 施術回数/通院回数(1回あたりの施術時間)
- デュアルホワイトニング1回施術/通院1回(通院後自宅でホームホワイトニング10日間、アフターの写真はその後に撮影)
- 費用
- 45,000円(診断料・クリーニング等すべて込み)
Q&A“結局いくら?” “違いって何?”に、はっきり答えます
Q1.サロンホワイトニングと医療ホワイトニングは何が違う?
最大の違いは「漂白成分(過酸化水素)」の有無です。過酸化水素は歯科医師の検診無しに使用することはできません。
セルフ
ホワイトニング
表面の清掃
回数券が一般的。汚れが取れたらそれ以上には白くならない。
医療
ホワイトニング
内部の漂白
一回の施術でも効果が期待できる。
歯の色そのものを白くする。
オンライン検診を利用して過酸化水素配合の薬剤を使用するサロンもありますが、
あくまでも自分で塗布するので
極めて低濃度のため、効果が限定的です。

Q2.ホワイトニング専門クリニックって他の歯科医院と何が違うの?
つまり白さが違います!
- エステや外科手術で、同じ術式を行ったとしても術者のスキルによって仕上がりに差が生じるのは想像に容易いと思います。ホワイトニングも同じです。当院は、数百~数千件の症例経験を持つホワイトニングコーディネーターが施術を行います。お口の中の状況に合わせて、適切な方法で施術を行う事で、安心かつ効果的に白い歯の実現を目指します。
- 即日施術可能です。(一般的な歯科医院は、①検診/②ホワイトニング/③マウスピースお渡し、など2~3回の通院)
- 例えばホームホワイトニングは、ご自宅でマウスピースに薬ジェルを入れて使用しますが、同じ薬を使用しても、使用方法のコツによって効果の出方が大きく変わります。当院では、独自開発のホワイトニング専用マウスピースを即日お渡し。
また、ジェルの入れ方や装着方法のコツをしっかりお伝えしますので、同じ薬剤を使用しても結果が大きく違います。
Q3.ホワイトニングの価格って結局いくらかかるの?
Q4.どのプランを選べばいいか分からないのですが…
当院で一番人気は「デュアルホワイトニング」です。
しっかり白く、持ちも良く、コスパも良いプランとして多くの方に選ばれています。
お安く始めてみたい方は、オフィスホワイトニングがおすすめ、施術後2週間以内なら差額のお支払いでプラン変更も可能なので、まずは効果を試してみてください。
もちろん、カウンセリングでお悩みに合わせてご提案も可能です。お気軽にご相談ください。
MENU診療案内
満足度の高いホワイトニング・審美治療のご提供を目指しています!
歯の着色汚れが気になる、セルフホワイトニングで白くならなかった、ブライダルに合わせて美しい白い歯になりたい、治療後のクリーニングなどお気軽にご相談ください。ホワイトニングと審美治療の専門クリニックだからできる事があります。

ホワイトニング
ここ札幌で長年にわたって「ホワイトニングと審美治療」を専門にやってまいりました。
札幌デンタルケアではお客様のご希望を伺いながら適切な施術をご提案いたします。
虫歯や差し歯、詰め物がある場合も問題なくホワイトニングを受けていただける事が多いです。札幌でホワイトニングや審美治療を利用する際はお気軽にご相談ください。

ブライダルエステ
純白のドレスに、輝く白い歯…きれいな花嫁スマイルの作り方
真っ白いドレスを着ると、目の錯覚で歯の色が黄ばんで見えてしまう事をご存知ですか?
純白のドレスには、輝く白い歯が似合います。
来店1回でできるホワイトニングでステキな笑顔を作りませんか?

審美治療オーダーメイドの治療
歯並び・形は、ほんの1㎜変わっただけで印象が大きく変わります。例えば口元のニキビ・歯に海苔・小さくはみ出た口紅などでも、見た目の印象は変わりますね。
審美治療を扱う歯科医師には豊富な知識と繊細な技術、時に芸術家としてのセンスも求められます。当院では豊富な経験を元に、お客様の「なりたい歯」を目指した、オーダーメイド治療をご提供します。

ホワイトニング専門クリニックは
白さが違います
札幌デンタルケアは、オフィス、ホーム、デュアルに対応し、年間2,000件以上の実績。(2024年実績)新しい技術で安全かつ確実に歯を白くします。
「効果がなかった」方も、ぜひご相談を。白くなるコツをお伝えします。
札幌市中央区・大通駅にある札幌デンタルケアは、ホワイトニングと審美歯科の専門医院。開業から20年、延べ2万件以上の2006年~2025年の審美治療実績があります。
花嫁の笑顔のための
歯のホワイトニングブライダルパック

※画像はイメージです
ブライダルエステ
純白のドレスに、輝く白い歯…きれいな花嫁スマイルの作り方。真っ白いドレスを着ると、目の錯覚で歯の色が黄ばんで見えてしまう事をご存知ですか?純白のドレスには、輝く白い歯が似合います。
来店1回で出来るホワイトニングでステキな笑顔を作りませんか?
1day治療も可能
審美治療
- ・ダイレクトボンディング
- ・カンタリング

審美治療のご相談も承ります。「ダイレクトボディング」「カンタリング」といった方法で歯の詰め物の色や形を治療できます。
どれも"1日"で治療完了します!
オーダーメイドの治療

歯並び・形は、ほんの1㎜変わっただけで印象が大きく変わります。例えば口元のニキビ・歯に海苔・小さくはみ出た口紅などでも、見た目の印象は変わりますね。
審美治療を扱う歯科医師には豊富な知識と繊細な技術、時に芸術家としてのセンスも求められます。当院では豊富な経験を元に、お客様の「なりたい歯」を目指した、オーダーメイド治療をご提供します。
INFORMATIONクリニック情報
| 診療時間 | 月 | 火 | 水 | 木 | 金 | 土 | 日/祝 |
|---|---|---|---|---|---|---|---|
| 10:00~12:30 | ● | ● | ● | ● | ● | ● | 休 |
| 15:00~18:00 | ● | ● | ● | ● | ● | ● | 休 |
※日・祝は休診です。
※金/土曜日はホワイトニングのみ承ります。(検診は非常勤の歯科医師です)
※日本歯科審美学会・ホワイトニングセミナーの出席等で臨時休診になることがあります。詳しくはカレンダー/院内の様子でご確認ください。
※当院は完全予約制となっております。
アクセス・交通のご案内
北海道札幌市中央区北2条西3丁目
敷島ビル4階
札幌駅 大通駅より 徒歩4分※尚、提携している駐車場はございません。
- 地上からお越しの場合
- 札幌グランドホテル斜め前。札幌駅前通りに面しています。(1Fは「おしま信金」「宝石の玉屋」です)
- 地下からお越しの場合
- 地下歩行空間チカホ 5番出口横に敷島ビル直結口があります。
- お車でお越しの方
- ビル東側に立体駐車場(有料)、裏に平面駐車場(有料)あり。
