オフィスホワイトニング
- 来店1回(60分)
- 22,000円


STEP01
カウンセリング
検診と歯の色の確認を行います
STEP02
歯石除去/クリーニング
着色や歯石の多い方は別途料金をいただく事があります
STEP03
オフィスホワイトニング
ジェル薬を塗布→光照射 30 分(スマホ使用 OK)
マウスガードを使用するので頑張って口を開けていなくても大丈夫です
STEP04
仕上がりの歯の色の確認



1回の施術で3~6段階のアップが見込めます。(効果の出方には個人差があります)
過酸化水素水+プラチナ+ポリリン酸でトリプル効果!しっかり白くなるのに痛くなりづらい&後戻りしづらい手法です。(治療期間:1日、治療回数1回)
- 単品1回目
- 22,000円
- 2回目以降(半年間)
- 17,000円
- 3回セット
- 48,000円
ホームホワイトニング
- 来店1回(60分)
- 27,000円


STEP01
カウンセリング
検診と歯の色の確認を行います
STEP02
歯型取り
オーダーメイドのマウスピースを製作します
STEP03
歯石除去/クリーニング
着色や歯石の多い方は別途料金をいただく事があります
STEP04
使用方法の説明
ご自宅でホワイトニングするコツをアドバイス
STEP05
マウスピースとジェルのお渡し



- 1回の施術で6~10段階のアップが見込めます(効果の出方には個人差があります)
マウスピースは当院製のオリジナル。ホワイトニング専用のマウスピースは、やわらかく、歯と薬ジェルをしっかりと密着させ、過度な唾液の混入を防ぐように作られています。院内ラボで作製しますので、即時のお渡しが可能です。 - 自宅でやる方法だからこそ、コツが大事。マウスピースジェルを入れ、装着する行程には、小さなコツがたくさんあります。特製動画でしっかりお伝えしますので、薬の効果を最大限に発揮させて、白い歯をゲットしてください。(治療期間:約10日間、来店回数1回)
- ホームホワイトニング
- 27,000円
- 追加ジェル2本
- 6,000円
- 追加ジェル1セット
(4本) - 11,000円
- 追加ジェル2セット
(8本) - 20,000円
- 追加ジェル3セット
(12本) - 27,000円
- マウスピース再作製(片顎)
- 6,000円
デュアルホワイトニング
- 来店1回(90分)
- 45,000円
オフィスホワイトニングとホームホワイトニングを組み合わせた治療。
来院回数1回で、それぞれの利点を生かして進めることができます。(治療期間:1日、治療回数1回)
STEP01
カウンセリング
検診と歯の色の確認を行います
STEP02
歯型取り
オーダーメイドのマウスピースを製作します
STEP03
歯石除去/クリーニング
着色や歯石の多い方は別途料金をいただく事があります
STEP04
オフィスホワイトニング
ジェル薬を塗布→光照射 30 分(スマホ使用 OK)
マウスガードを使用するので頑張って口を開けていなくても大丈夫です
STEP05
使用方法の説明
ご自宅でホワイトニングするコツをアドバイス
STEP06
マウスピースとジェルのお渡し




1回の施術で10~14段階のアップが見込めます。
(効果の出方には個人差があります)
無料相談では無理に治療をすすめることはありません。ご希望によって草案後にそのまま施術することも可能です。ご予約時にお伝えください。
FOR ME?私にはどの方法?
| メリット | デメリット | |
|---|---|---|
| オフィス ホワイトニング |
|
|
| ホーム ホワイトニング |
|
|
| デュアル ホワイトニング |
|
|
私にはどの方法?

- はじめて何を選べばいいの?とにかく白くしたい...

- 初めてホワイトニングする方の約6割はデュアルホワイトニングを選びます。

- 早く白くしたい!けど痛みが心配だし...ずぼらで家でのメンテはむずかしそうだな...

- オフィスホワイトニングはブライダルなど早く白くしたい方におすすめ。また痛みへも即時対応できるので安心です。

- コスパ重視!!遠くで通うのがきついな...

- ホームホワイトニングは費用対効果が一番高いです。ご自宅でコツコツケアができる方におすすめです。
初回施術から2週間以内でしたら、差額のお支払いのみで「デュアルホワイトニング」や「オフィスホワイトニング3回セット」へのプラン変更が可能です。
MAINTENANCEホワイトニングのメンテナンス
ホワイトニングをした歯も、再びゆっくりと着色をしていきます。
しかし、完全に元の歯の色に戻るのは何年も先です。
その前に「ちょっと着色してきたかな…」と思ったらオフィスホワイトニングやホームホワイトニングを行ってください。
特に、マウスピースをお持ちのあなたはホームホワイトニング追加用ジェルを買うだけで、すぐにホームホワイトニングが可能です。
ジェルは通信販売も行っております。
送料は無料!(当院負担)でとってもお得です。
その他のホワイトニング
歯茎のホワイトニング
見落としがちですが、健康的できれいなピンク色の歯茎も、美しい笑顔には欠かせません。歯のホワイトニングと合わせて歯茎のホワイトニングもいかがですか?
色素沈着してしまった歯茎
歯茎は、紫外線やタバコ・お茶などで意外と変色しています。
薬剤を使用して、黒ずんだ歯茎をきれいなピンク色に戻します。(フェノールアルコール法)
治療は1回10分。痛みはありません。
施術後、一時的に歯茎が白く変色したり、赤~赤紫になりますが、3日~1週間程度でピンク色になります。ほぼすべての方に施術効果があります。
- 施術1回
- 15,000円(税込)
- 2回目以降
- 6,000円(税込)

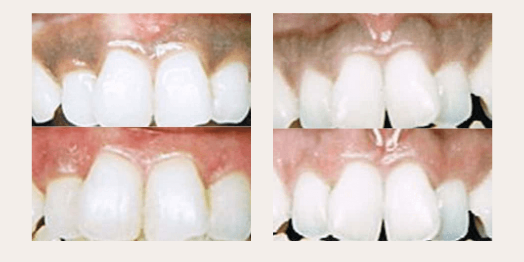
金属イオンが沈着してしまった歯茎
内部に金属を使用した差し歯が入っている場合は、この写真のように、歯と歯茎の境界が黒ずんでくることがあります。これは、差し歯の金属がイオン化し歯茎の軟組織に溶け出してしまったためです。入れ墨と同じ様な状態です。
この場合、まずは差し歯のやり替えと共に、レーザー照射によって金属イオンを除去していきます。 (差し歯について詳しくは審美治療のページをご覧ください。)
当院では、YOSHIDA炭酸ガスレーザー オペレーザーLiteプラスによる治療を行っています。
治療は1回10分。
施術後、一時的に歯茎が黒くなりますが、3日~1週間程度でピンク色になります。 通常は複数回の治療が必要です。
- 施術1回
- 15,000円(税込)
- 2回目以降
- 6,000円(税込)